Una mujer estuvo embarazada durante 40 años
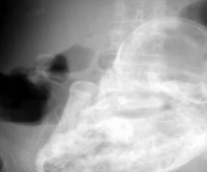
Una mujer de 82 años se enteró que los dolores abdominales que sufría, eran provocados por la presencia de un feto que no se había desarrollado
Una mujer de 82 años se enteró que los dolores abdominales que sufría, eran provocados por la presencia de un feto que no se había desarrollado
