¿Cómo llega un diente a los dedos de los pies?
¿Cómo llega un diente a los dedos de los pies?
¿Cómo llega un diente a los dedos de los pies?

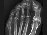
El joven admitió que unas semanas antes había tenido una pelea con otro hombre, y en medio de la riña, una patada suya impactó en la mandíbula de su adversario, lo que le provocó una fractura en la mandíbula y el desprendimiento de un par de dientes. Uno de ellos, debido a la fuerza de la patada, quedó incrustado en su pie. La herida cerró y la pieza dental quedó dentro de su cuerpo. Inmediatamente los doctores ordenaron una intervención quirúrgica para removérselo.
La operación fue un éxito, pero el muchacho todavía sigue en observación, ya que como los dientes están en contacto con la saliva, líquido que puede alojar unas 200 especies de micro organismos, puede haber una alta chance de contraer infecciones.