
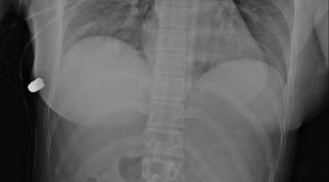
Una mujer de 30 años fue impactada por una bala mientras caminaba por una calle de Ontario, Canada, pero afortunadamente se salvó de morir gracias a sus implantes mamarios.
La mujer empezó a sentir dolor en un seno izquierdo y notó que estaba sangrando, razón por la que fue trasladada de manera inmediata a la Clínica McLean, en donde los trabajadores de salud encontraron una bala.
Vea También:
Los médicos aseguraron que el implante logró salvar la vida de la mujer, pues la bala iba en dirección a su corazón. Giancarlo McEvenue, cirujano plástico que retiró la bala del cuerpo de la mujer, afirmó:
“Este implante cubre el corazón y la cavidad intratorácica, así que probablemente le salvó la vida a la mujer”.
Una fractura en una costilla y daño en el tejido pulmonar, fueron las dos consecuencias que sufrió la mujer por el impacto de la bala, que podría haberla matado.
Aunque lo ocurrido pasó en el año 2018, la revista Plastic Surgery Case Studies lo hizo público hace poco tiempo.
Si desea ver fotos de lo ocurrido a la mujer, entre a este enlace: Plastic Surgery Case Studies