El hecho sucedió en Bogotá, Colombia. La paciente se dirigió al Hospital de Tunjuelito, en Bogotá, luego de padecer fuertes dolores abdominales y diarrea.
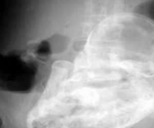
En esta institución le dijeron que esto se debía a la presencia de un feto que no se había desarrollado y que había estado en su organismo durante 40 años.
Tras practicarle un examen clínico completo, los médicos determinaron que la mujer de 82 años no tenía ni cálculos ni tumores en su abdomen, sino un feto que estaba alojado afuera del útero.
Utilizamos cookies propias y de terceros para elaborar información estadística y mostrarte publicidad personalizada a través del análisis de tu navegación, conforme a nuestra política de cookies. Si continúas navegando, aceptas su uso.